
草食動物であるウサギは、病気になってもその症状を隠すと言われています。静かに休んでいるように見えても、実際には苦しんでいることもあります。わずかな病気のサインを見過ごさないことと、定期的な健康診断が病気の早期発見に有効です。
また、病気のサインに気付いても、一日様子を見ることにより、病気が急激に進行することも少なくありません。
いつもとちょっと様子が違うと感じたら、お気軽にお越しください。
ウサギのよくある病気、症状
歯の病気(不正咬合)
●症状:食欲不振、歯ぎしり、よだれ
ウサギの歯は一生涯伸び続けます。伸びた分は咬む動作によって削れていきますが、何らかの原因でうまく削れなくなると歯が異常に伸びてしまい、咬みあわせが悪くなります。この状態が不正咬合です。
伸びすぎた歯は、口内の粘膜を傷つけ、痛みから食欲不振になります。また、咬み合せが悪いため、食物をうまく食べることができなくなります。
症状はよだれ、食べにくそう、食べたそうだが食べない、食欲不振の他、涙、目ヤニなど眼に症状がでることもあります。
治療は伸びすぎた歯の切削になります。全身麻酔下で行う方法と無麻酔で行う方法があります。
![]() | ![]() | ![]() |
| ■切歯の不正咬合 | ■臼歯の不正咬合 | ■臼歯の不正咬合 |
消化器の病気(胃腸のうっ滞)
●症状:食欲元気の低下、便が小さい、便が出ない、お腹が張っている
ウサギは身体の構造的に吐くことができません。何らかの原因で胃腸の動きが止まってしまうと、胃液やガスが胃腸内にたまり、腹痛を起こします。
多くの場合、内服や注射、補液などの内科的な治療で改善しますが、緊急の処置が必要になることもあります。
急性の胃拡張において、内科治療に反応しない時や重度の胃拡張では、経口胃カテーテルによる速やかな胃液の抜去が必要です。
原因の多くは不適切な食事による慢性的な繊維質不足です。草食動物であるウサギの胃腸が正常に機能するためには、繊維質を豊富に含む乾草が必要です。
他の病気に続発することも多いです。正しい食事バランスを心がけ、普段から糞の大きさや数などを観察しておき、糞が小さい、量が少ないなどの異常に気付いたら、すぐに受診をおすすめします。
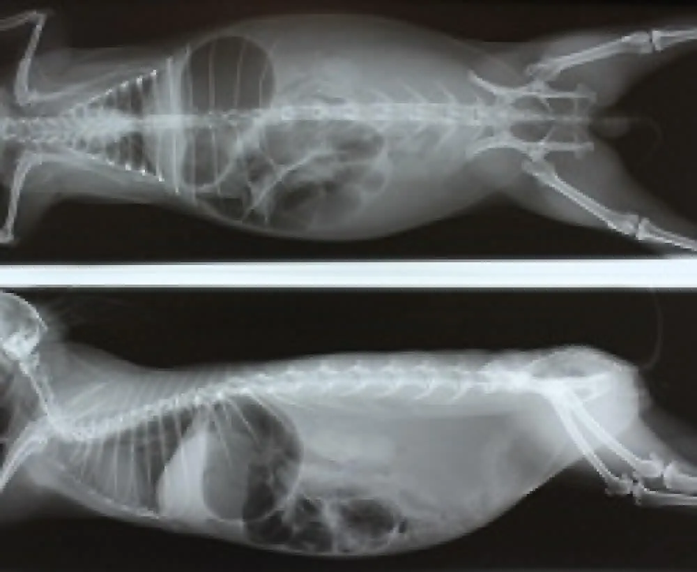
![]() | ![]() |
| ■胃と盲腸のガス貯留 | ■胃拡張の手術 |
子宮の病気(子宮腫瘍、子宮水腫、子宮内膜過形成など)
●症状:尿に血液が混じる、お腹が膨らむ
メスのウサギは4~5歳になると子宮の病気の発生リスクが高まります。初期では食欲や元気が落ちることは少ないため、発見が遅れがちです。症状が血尿の場合は、膀胱炎や尿路結石との鑑別が必要です。
病気が進行すると、貧血や腹膜炎、腫瘍の転移などを起こします。4~5歳以上になったら、定期的な健診をおすすめいたします。
子宮の病気は、避妊手術により予防できます。当院では、避妊手術を1歳前後までに受けられることを推奨しております。
![]() | |
| ■子宮出血による血尿 | ■腫瘍のため摘出された卵巣子宮 |
皮膚の病気(細菌性皮膚炎、皮膚糸状菌症、ツメダニ症、足底皮膚炎など)
●症状:脱毛、フケ、痒み、湿疹
原因により治療法が異なります。感染症に対しては、抗生物質や抗真菌薬、駆虫薬の投与を行います。
足底皮膚炎では、飼育環境の改善と体重管理などのアドバイスを行います。
ウサギによっては、皮膚病があっても、痒みなどの自覚症状を示さないことがあります。フケや脱毛、発赤など皮膚に異常がないか、ブラッシング時に気を付けてみてあげましょう。
![]() | ![]() | ![]() |
| ■ツメダニ寄生によるフケ | ■ツメダニ | ■足底皮膚炎 |
眼の病気(結膜炎、流涙症、白内障など)
●症状:涙、目ヤニ、まぶたの腫れ、白く濁る
涙や目ヤニの原因として最も多いのは、結膜炎や鼻涙管の閉塞です。眼の病気は歯の病気と関連している場合もあります。
白内障は老化によるもの以外に外傷や感染などの原因でも起こります。
治療は点眼薬や鼻涙管の洗浄などを行います。歯の病気が関係している場合は歯の治療も必要になります。
![]() | |
| ■流涙症 | ■涙管洗浄 |
富士森公園動物病院でのウサギの治療について

富士森公園動物病院では、これまでのウサギ診療に関する豊富な経験を生かして、症状だけを診て判断するのではなく、慎重に診察してきちんと原因を見極めます。同じ消化器の症状でも、その原因も治療方法もさまざまです。
まずは飼い主さまに症状とその原因について丁寧にわかりやすくご説明し、動物の体質や年齢、個性に合わせた治療方法についてご相談した上で治療を行っています。
ウサギを飼っている方へ 病気にならない飼い方とは

ウサギは食事に起因した病気が多いため「正しい食事」がとても大切です。主食である乾草を十分に与え、副食であるペレットは与えすぎに注意します。野菜などはオヤツ程度に与える、というバランスに気を付けましょう。
診察のほか、検診の際に食事に関するアドバイスをいたしますので、お気軽にご相談ください。
また、メスの場合は、早めに避妊手術を受けることをおすすめしています。避妊手術により、4~5歳になると発生リスクが高まる子宮の病気を防ぐことができます。






















